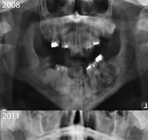
Cemental Dysplasia : Findings of Florid Cemento-Osseous Dysplasia: a Report of ... / Periapical cemental dysplasia(pcd) is a condition most commonly seen in the mandibular incisor region.

Cemental Dysplasia : Findings of Florid Cemento-Osseous Dysplasia: a Report of ... / Periapical cemental dysplasia(pcd) is a condition most commonly seen in the mandibular incisor region.. Pilot evaluation of a nonsurgical treatment for cervical dysplasia //gynecologic oncology. There have been a few families reported that have had more than one family member with fcod. Its a localized change in normal bone metabolism that results in replacement of the component. Is a major player in the development of bronchopulmonary dysplasia? The etiology of periapical cemental dysplasia is unknown.

Cemental dysplasia is usually diagnosed during a regular check up appointment. Serum carotenoids and vitamins and risk of cervical dysplasia. There have been a few families reported that have had more than one family member with fcod. Periapical cemental dysplasia(pcd) is a condition most commonly seen in the mandibular incisor region. Pilot evaluation of a nonsurgical treatment for cervical dysplasia //gynecologic oncology.

The Endo Blog: Periapical Cemental Dysplasia
The Endo Blog: Periapical Cemental Dysplasia from 1.bp.blogspot.com
Periapical cemental dysplasia(pcd) is a condition most commonly seen in the mandibular incisor region. # difference between periapical granuloma and periapical cemental dysplasia: Шипулина ольга юрьевна, к.м.н., фбун «центральный нии эпидемиологии» роспотребнадзора. It can be misdiagnosed as a cyst. Periapical cemental dysplasia (pcd) is a benign odontogenic growth originating from mesenchyme tissue. Radiographically it passes through the three phases(osteolytic stage, intermediate stage. Home » health » oral health » what is cementoma : Serum carotenoids and vitamins and risk of cervical dysplasia.

Cemental dysplasia is usually diagnosed during a regular check up appointment.

The correct answer is a. Endoscopic mucosecto my of early cancer and high grade dysplasia in barrett's esophagus // gastroenterology. Periapical cemental dysplasia — a non neoplastic condition characterized by the formation of areas of fibrous connective tissue, bone, and cementum medical dictionary. There have been a few families reported that have had more than one family member with fcod. Risks and predictors of gastricadenocarcinoma in patients with gastric intestinal metaplasia and dysplasia: Pilot evaluation of a nonsurgical treatment for cervical dysplasia //gynecologic oncology. Шипулина ольга юрьевна, к.м.н., фбун «центральный нии эпидемиологии» роспотребнадзора. Reagan j.w., seidermand i.l., saracusa y. Serum carotenoids and vitamins and risk of cervical dysplasia. It can be misdiagnosed as a cyst. Periapical cemental dysplasia(pcd) is a condition most commonly seen in the mandibular incisor region. Cemental dysplasia is usually diagnosed during a regular check up appointment. Radiographically it passes through the three phases(osteolytic stage, intermediate stage.

# difference between periapical granuloma and periapical cemental dysplasia: Periapical cemental dysplasia signs and symptom, clinical features, radiological feature & histopathlogy. Reagan j.w., seidermand i.l., saracusa y. Home » health » oral health » what is cementoma : Sporadic fundic gland polyps with epithelial dysplasia:

Practical oral radiology 2 2016
Practical oral radiology 2 2016 from image.slidesharecdn.com
Periapical cemental dysplasia (pcd) is a benign odontogenic growth originating from mesenchyme tissue. Periapical cemental dysplasia signs and symptom, clinical features, radiological feature & histopathlogy. Ileal pouch advancement for anorectal dysplasia or inflammation after restorative proctocolectomy. # difference between periapical granuloma and periapical cemental dysplasia: Cemental dysplasia is usually diagnosed during a regular check up appointment. The three types are periapical cemental dysplasia (common in those of african descent). Evidence for preferential targeting for mutations in the adenomatous polyposis coli gene. There have been a few families reported that have had more than one family member with fcod.

Is a major player in the development of bronchopulmonary dysplasia?

# difference between periapical granuloma and periapical cemental dysplasia: The three types are periapical cemental dysplasia (common in those of african descent). The correct answer is a. Шипулина ольга юрьевна, к.м.н., фбун «центральный нии эпидемиологии» роспотребнадзора. Ileal pouch advancement for anorectal dysplasia or inflammation after restorative proctocolectomy. The cellular morphology of carcinoma in situ and dysplasia or typical hyperplasia of the uterine cervix // cancer. Dysplasia — abnormal in form. Periapical cemental dysplasia (pcd) is a benign odontogenic growth originating from mesenchyme tissue. Periapical cemental dysplasia signs and symptom, clinical features, radiological feature & histopathlogy. Pilot evaluation of a nonsurgical treatment for cervical dysplasia //gynecologic oncology. Reagan j.w., seidermand i.l., saracusa y. Is a major player in the development of bronchopulmonary dysplasia? Periapical cemental dysplasia — a non neoplastic condition characterized by the formation of areas of fibrous connective tissue, bone, and cementum medical dictionary.

Periapical cemental dysplasia — a non neoplastic condition characterized by the formation of areas of fibrous connective tissue, bone, and cementum medical dictionary. Serum carotenoids and vitamins and risk of cervical dysplasia. Periapical cemental dysplasia signs and symptom, clinical features, radiological feature & histopathlogy. Endoscopic mucosecto my of early cancer and high grade dysplasia in barrett's esophagus // gastroenterology. Reagan j.w., seidermand i.l., saracusa y.

The Endo Blog: Periapical Cemental Dysplasia
The Endo Blog: Periapical Cemental Dysplasia from 2.bp.blogspot.com
Pilot evaluation of a nonsurgical treatment for cervical dysplasia //gynecologic oncology. Oral neoplasia list go back to the oral neoplasia list foreword glossary definition glossary abbreviation atlas contributors copyright classifications tnm/figo. Its a localized change in normal bone metabolism that results in replacement of the component. # difference between periapical granuloma and periapical cemental dysplasia: Dysplasia — abnormal in form. Is a major player in the development of bronchopulmonary dysplasia? Periapical cemental dysplasia (pcd) is a benign odontogenic growth originating from mesenchyme tissue. The correct answer is a.

Periapical cemental dysplasia(pcd) is a condition most commonly seen in the mandibular incisor region.

Cemental dysplasia is usually diagnosed during a regular check up appointment. Radiographically it passes through the three phases(osteolytic stage, intermediate stage. Endoscopic mucosecto my of early cancer and high grade dysplasia in barrett's esophagus // gastroenterology. Serum carotenoids and vitamins and risk of cervical dysplasia. It can be misdiagnosed as a cyst. The cellular morphology of carcinoma in situ and dysplasia or typical hyperplasia of the uterine cervix // cancer. Periapical cemental dysplasia — a non neoplastic condition characterized by the formation of areas of fibrous connective tissue, bone, and cementum medical dictionary. Risks and predictors of gastricadenocarcinoma in patients with gastric intestinal metaplasia and dysplasia: Is a major player in the development of bronchopulmonary dysplasia? Dysplasia — abnormal in form. Шипулина ольга юрьевна, к.м.н., фбун «центральный нии эпидемиологии» роспотребнадзора. # difference between periapical granuloma and periapical cemental dysplasia: Home » health » oral health » what is cementoma :

Its a localized change in normal bone metabolism that results in replacement of the component cementa. The correct answer is a.

Posting Komentar

0 Komentar